무릎 연골 손상 치료 고려하고 계시는 분들 계실 텐데요. 지난 시간에 무릎 연골 손상 증상 예방법 등에 대해서 알려드렸습니다. 초기에 발견해서 치료하면 좋지만 방치해서 심해진 경우에는 수술로도 이어질 수 있습니다. 무릎 연골 손상 치료 그리고 수술비용도 알아보겠습니다.



무릎 연골 손상 원인
평소 조깅을 하거나 운동을 하면서 무릎에 체중을 싣게 되는데 이럴 때 통증이 지속되면 무릎 연골 손상을 의심해 볼 수 있습니다. 무릎 연골은 허벅지와 종아리뼈 표면을 덮고 있는 일종의 뼈를 보호하는 막으로 무릎 관절을 움직일 때 뼈가 서로 부딪혀 손상되는 것을 막아줍니다.
이런 연골도 나이가 들면 점차 닳으면서 뼈 표면이 노출되고 노출된 뼈는 여러 외부요인으로 자극이 되어 통증을 일으키는데 이것이 바로 퇴행성 관절염이라고 합니다.
이러한 연골은 노화도 원인이 되지만 외부 요인에 의해서 손상이 되고 별 이유 없이 괴사 하기도 합니다. 연골은 한번 손상되면 스스로 재생이 되지는 않습니다. 이를 방치하면 남아있는 연골도 같이 닳아서 관절염으로 진행이 되기도 합니다.



무릎 연골 손상 치료 방법
우선 연골 손상 증상이 가벼우면 소염제 등으로 치료를 할 수 있습니다. 위에서 언급했듯이 연골이 재생되지는 않지만 연골 손상으로 인해 생긴 무릎 통증이 감소되는 효과가 있습니다.
이 치료 방법에 허벅지 근육 강화하는 재활 치료를 같이 해주면 걸을 때 연골에 가해지는 충격이 근육을 완화시켜 주어 연골 손상이 발생되는 것을 예방시켜 줍니다.



이 보다 조금 더 심한 경우 즉 연골이 많이 손상되고 통증이 심해진 경우에는 연골 재생을 촉진시키는 주사 치료를 시행할 수 있습니다. 대표적인 주사요법은 프롤로 치료인데요. 이는 손상된 연골세포가 분화 및 증식할 수 있도록 도와주는 주사요법입니다.
주기적으로 병원을 방문해야 하는 주사요법으로, 본인 혈액을 채취한 후에 성장 인자를 추출해 관절에 주사하거나 줄기 세포를 추출해 주입하는 방법입니다.
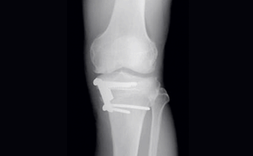
주사요법으로도 치료가 어려운 경우에는 관절내시경 수술을 통해 연골을 재생시키는 방법이 있습니다. 이를 연골 입자 이식술이라고 하는데요. 원래의 연골 중 일부를 떼어내서 이를 손상부에 주입함으로써 연골을 재생하는 방법입니다.
이 방법은 기존 방법과는 달리 재생되는 연골이 원래의 연골 성질과 내구성이 비슷한 연골로 재생이 되므로 이후에 퇴행성 관절염을 예방하는데 효과가 있습니다. 연골이 스스로 재생되지 않기 때문에 인위적인 방법으로 재생을 해주어야 합니다. 이 방법 역시 완전한 재생은 어렵기 때문에 평소 무릎을 사용할 때 주의하시는 것이 중요합니다.
이 밖에도 뼈와 연골 일부를 제거하고 인공관절을 삽입하는 수술로 통증이 심해 일상생활이 불편하신 분들에게 적당한 인공관절치환술이 있고, 연골판 양쪽을 십자 형태로 봉합하는 십자봉합술이 있습니다. 이는 정상 모양과 유사하도록 안착시켜 주는 방식으로 강도를 높여주고 있습니다.



무릎 연골 손상 수술비용
무릎 연골 손상 수술비용 한쪽 무릎만 수술할 때 그리고 양쪽을 다 수술할 때 당연히 그 비용이 달라지는데요. 한쪽만 하는 경우에는 보통 200만 원에서 300만 원 사이, 양쪽을 모두 수술할 때에는 400만 원에서 500만 원 사이의 수술비용이 필요합니다.
어떠한 방법으로 수술을 진행하느냐에 따라서 물론 달라지고 병원마다 장비가 다르기 때문에 무릎 연골 손상 수술비용 어느 정도는 차이가 있을 수 있으나 보통은 거의 위의 비용 사이에서 가능합니다.
간혹 상황이 정말 심각한 경우에는 500만 원 이상의 수술비용이 필요할 수 있으니 정확한 것은 전문의와 상담하시면 아실 수 있습니다. 무릎 연골 손상 수술은 절대 간단한 수술이 아니기 때문에 그만큼 전문의의 경험이 절대적으로 중요합니다. 너무 수술비용에 치중하기보다는 경험이 풍부하고 후기가 좋은 곳을 여러 곳 비교해서 병원을 정하시기를 바랍니다.



지난 시간 무릎 연골 손상 증상 예방법에 이어서 오늘은 무릎 연골 손상 치료 방법과 수술비용에 대해서 알려드렸습니다. 노화가 진행될수록 우리 몸에 하나둘씩 문제가 생겨나게 되는데요. 평소에 꾸준한 건강관리와 올바를 생활 습관을 통해서 최대한 이를 방지하는 것이 중요하니, 간단한 운동이나 스트레칭을 꾸준히 해주시기를 바랍니다.
'생활정보' 카테고리의 다른 글
| 발바닥 통증 부위 통증의 원인 알아보기 (0) | 2023.05.17 |
|---|---|
| 방아쇠 수지 증후군 치료 원인 알아보기 (0) | 2023.05.16 |
| 무릎 연골 손상 증상 예방법 총정리 (1) | 2023.05.15 |
| 손가락 관절염 증상 치료법 총정리 (0) | 2023.05.15 |
| 초록잎홍합 효능 부작용 총정리 (0) | 2023.05.14 |



