무지외반증 수술비용 알려드리기 전에 무지외반증이 무엇이고 증상과 원인에 대해서 먼저 알려드리려고 합니다. 생각보다 흔한 질병인 무지외반증 빨리 치료하지 않으면 환자에게 심한 고통까지 안겨다 줄 수 있는데요. 과연 어떠한 질환일까요?



무지외반증
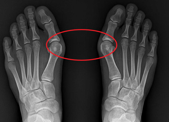
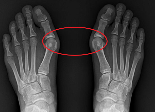
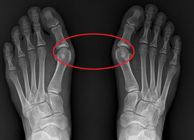
무지외반증이란 엄지발가락 관절 부분이 반대 방향인 안쪽으로 튀어나오고 엄지발가락 끝이 바깥쪽을 향해 휘어진 상태를 말합니다. 이 무지외반증 증상은 보기에도 안 좋을뿐더러 통증이 심해지면 일상생활이 힘들어진다는 고충이 있는데요.
무지외반증 증상을 앓고 있는 분들은 대체적으로 40대 이상이 많고 이 중에서 10% 정도가 중증 이상의 변형과 그로 인한 통증에 시달리는 것으로 나타났습니다.


무지외반증 증상
무지외반증 증상 중 가장 흔한 증상은 엄지발가락 관절 안쪽의 돌출과 그 부위의 통증입니다. 관절 부분이 돌출이 되면 신발을 신을 때마다 자극을 받아 염증이 생기면서 통증이 발생하게 됩니다.
발 뒷꿈치에 통증이 느껴진다면? 이 질환을 의심해보자!
엄지발가락의 통증이 두 번째, 세 번째 발가락의 통증으로 이어지고 발바닥 부분에 굳은 살이 생기게 됩니다. 여기서 더 심한 경우에는 두 번째 발가락이 엄지발가락과 겹치면서 굳은살 또는 압박성 피부 궤양이 발생할 수 있습니다. 새끼발가락 관절도 돌출이 될 수 있습니다.



발 전체적으로 얼얼함을 느끼고 티눈이 잘 생기며 발가락 움직임에 제한이 오기도 합니다.
이러한 무지외반증 증상은 다른 합병증으로 이어질 수 있는데요. 관절염, 뼈와 힘줄 및 근육을 완충시키는 역할을 하는 활액낭에 염증, 중족골 통증 등 새로운 증상들이 나타날 수 있기 때문에 조심하셔야 할 것 같습니다.
무지외반증 원인
무지외반증 원인은 여러가지가 있는데, 가장 큰 원인으로 꼽히고 있는 것이 굽이 높은 신발을 신거나 발볼이 좁은 신발을 신는 것입니다.
또 다른 무지외반증 원인은 발과 힘줄에 낮은 아치 또는 과체중으로 인해 발가락 관절이 불안정해서 생길 수도 있습니다. 그리고 평발과 넓적한 발, 과도하게 유연한 발등도 원인이 됩니다.
과잉 이동으로 인한 평소에 비해 많이 움직이는 엄지발가락 뼈, 류마티스 관절염 등과 같은 관절염 증세도 무지외반증 원인이 될 수 있습니다.



무지외반증 예방법
심하지 않은 무지외반증은 가정에서 충분히 예방을 할 수가 있는데요. 너무 꽉 끼는 신발과 하이힐의 착용을 되도록이면 금지하는 것이 좋습니다.
신발 밑바닥에 깔창을 넣어서 발바닥 그리고 발가락에 전해지는 충격을 완화시켜줍니다. 또한 본인의 발 모양에 잘 맞는 맞춤형 신발을 신는 것도 무지외반증 예방을 할 수 있는 방법입니다.


또한 발가락이 안정적 위치에 있게 지지해주는 부목 또는 테이핑을 사용해 발가락에 자극이 전해지는 것을 막을 수 있습니다.
무지외반증 증상이 보이면 그 부위에 얼음팩을 문질러 붓기를 줄여주고, 당분간은 장시간 서있거나 발을 많이 사용하는 행위 등을 줄이는 것이 좋습니다.
무지외반증 치료법
무지외반증 증상이 진행이 되고 있다면 할 수 있는 치료법은 약물치료 그리고 심할 경우에는 수술이 있는데요. 약물치료방법은 통증과 부기를 줄일 수 있는 이부프로펜 등의 약물을 약국에서 구입해서 사용할 수 있고, 코르티손 주사로 활액낭의 붓기를 완화시키는 방법을 사용할 수 있습니다.


단, 일부 심한 사람들은 수술이 불가피할 수 있는데요. 위와 같은 방법으로 해서 통증과 부기가 계속 지속되는 경우, 발가락을 구부리거나 펴지 못하는 경우, 엄지발가락 모양이 심한 기형인 경우 등이 이에 해당됩니다.
무지외반증 수술은 힘줄과 인대 복구 수술, 관절을 재정렬하기 위한 교정 절차인 절골술, 부은 관절면을 제거하는 수술, 발가락 관절의 손상된 부위를 제거해 발가락 뼈 사이에 많은 공간을 제공하는 수술 등이 있습니다.


무지외반증 수술비용
무지외반증 수술비용은 수술의 강도와 부위 그리고 발가락 변형 정도 등에 따라서 상이할 수 있습니다. 보통 200만 원 선에서 생각하면 되고, 중증 이상의 수술의 경우에는 300 만원 또는 400만 원까지 무지외반증 수술비용이 책정이 될 수 있는데요.
물론 이 수술은 미용의 목적이 아니라 절대적으로 신체 기능의 개선이 목적이기 때문에 비용의 혜택을 받을 수 있는데요. 개인별로 상황이 다 다르기 때문에 정확한 내용은 병원 측과 상담을 해보시는 것이 가장 정확합니다.
무지외반증 수술비용 어쨌든 수술을 해야 하는 상황이면 어느 정도 부담이 될 수밖에 없을 것 같은데요. 수술로 이어지기 전에 미리 예방을 하고 증상이 나타났을 때 빠른 치료를 하는 것이 가장 현명한 방법이 아닐까 합니다.
'생활정보' 카테고리의 다른 글
| 턱관절 통증 치료방법 증상 자가진단 (0) | 2022.08.29 | 
|---|---|
| 위암 초기증상 위암에 좋은 음식 총정리 (0) | 2022.08.28 | 
| 오메가 3 효능 추천 음식 총정리 (0) | 2022.08.22 | 
| 왼쪽 옆구리 통증 설마 이 병이 아닐까? (0) | 2022.08.20 | 
| 대상포진 초기증상 치료방법 빠를수록 좋은 이유 (0) | 2022.08.19 | 




 
																	 
																	 
																	