탈장 증세 원인 수술 등에 관해서 오늘 자세하게 알아보도록 하겠습니다. 누구에게나 흔하게 일어나는 증세는 아니지만, 상황에 따라서는 빈번하게 일어날 수 있는 증세이기 때문에 예방방법까지 함께 알아보겠습니다.



탈장
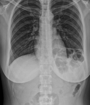
탈장이란 신체의 장기가 제자리에 있지 않고 다른 조직을 통해 돌출되거나 빠져나오는 증상을 말합니다. 신체 어느 곳에나 생길 수 있지만 대부분의 탈장은 복벽, 즉 배 안의 앞쪽의 벽에서 발생하는데, 복벽 탈장은 복강을 둘러싼 근육과 근막 사이에 복막이 주머니 모양으로 돌출되어 비정상적인 형태를 이루는 상태입니다. 주머니 속에 복강 내 장기가 포함되기도 한다. 탈장은 생긴 부위에 따라 여러 가지로 분류되기도 합니다.



탈장 종류
가장 흔한 형태로는 사타구니 부위에 생기는 서혜부 탈장, 그리고 그 외에 대퇴와 아랫배가 만나는 부위의 대퇴 탈장, 수술 상처 부위에 생기는 반흔 탈장, 배꼽 부위의 약해진 부분을 통해 발생하는 제대 탈장 등이 있다.
탈장은 위치와 종류에 따라서 다양한 증상을 보일 수 있는데요, 주요 증상은 다음과 같습니다.



탈장 증세
탈장 증세 1. 부풀어 오르는 덩어리
탈장 부위에 부풀어 오르는 덩어리가 나타나는데, 이는 복강 내 장기가 밖으로 나와 있는 것을 보여줍니다.
탈장 증세 2. 통증과 불편함
탈장 부위에 통증, 압박감, 당김 현상 등이 나타날 수 있습니다. 특히 운동이나 무거운 물건을 들 때 증상이 악화될 수 있습니다.
탈장 증세 3. 매스꺼움과 구토
장이 끼어 나와 있는 경우 장폐색 증상으로 메스꺼움과 구토가 발생할 수 있습니다.
탈장 증세 4. 복무 팽만감
탈장된 장기로 인해 복부가 팽만되는 증상이 나타날 수 있습니다.




탈장 원인
탈장 원인으로는 다음과 같은 것들이 있습니다.
1. 복벽 약화: 선천적 또는 후천적 요인으로 복벽이 약해져 장기가 빠져나오는 경우
2. 과도한 복압 증가: 무거운 물건 들기, 만성 변비, 기침 등으로 복압이 지속적으로 증가하는 경우
3. 비만: 복부 지방 축적으로 복벽 약화를 유발할 수 있음
4. 임신: 임신으로 인한 복벽 팽창과 복압 증가로 탈장 발생 위험 증가
탈장 수술
탈장 수술은 복벽의 결손으로 인해 장이 튀어나온 상태를 교정하는 수술입니다. 탈장이 방치되면 점점 악화될 수 있어 수술적 치료가 필요합니다. 수술 방법에는 개복수술, 복강경 수술, 로봇수술 등이 있으며, 인공막 사용 여부에 따라 인공막 탈장 수술과 무인공막 탈장 수술로 나뉩니다.



탈장 수술 방법
1. 개복수술: 복부를 직접 절개하여 탈장 부위를 노출시키고 수술을 진행하는 방식입니다. 전통적인 수술 방법이지만 상처가 크고 회복 기간이 길어질 수 있습니다.
2. 복강경 수술: 복부에 작은 구멍을 내고 카메라와 수술 도구를 삽입하여 수술을 진행하는 방식입니다. 상처가 작고 회복이 빠르지만 숙련도가 필요합니다.
3. 로봇수술: 복강경 수술과 유사하지만 로봇 팔을 이용하여 수술을 진행하는 방식입니다. 정교한 수술이 가능하지만 비용이 높습니다.
또한 인공막을 사용하느냐 안 하느냐에 따라서 다음과 같이 탈장 수술이 나뉘게 됩니다.
1. 인공막 탈장 수술: 탈장 부위를 보강하기 위해 인공 메쉬 막을 사용하는 수술입니다. 재발률이 낮지만 감염 등의 합병증 위험이 있습니다.
2. 무인공막 탈장 수술: 인공 메쉬 없이 환자의 조직을 이용하여 수술을 진행하는 방식입니다. 합병증 위험은 낮지만 재발률이 다소 높을 수 있습니다.
탈장 수술 후 관리
수술 후에는 최소 1개월 동안 복부 근육에 무리가 가는 운동을 피해야 합니다. 재발 위험이 있으므로 의사와 상담 후 운동을 점진적으로 재개해야 합니다. 또한 기침, 재채기, 구토 시 복부에 과도한 압력이 가해지지 않도록 주의해야 합니다. 탈장 수술은 환자의 상태와 선호도에 따라 다양한 방법으로 진행될 수 있습니다. 수술 전후 관리가 중요하며, 의사와 충분한 상담을 통해 최적의 치료 방법을 선택하는 것이 중요합니다.
탈장 예방법
탈장 예방을 위해서 해야 할 일들은 다음과 같습니다.
탈장을 예방하기 위해서는 건강한 체중 유지, 복부 근육 강화 운동, 무리한 힘 주기 피하기, 만성 변비 관리, 기침 등 복압 증가 요인 관리가 필요합니다. 탈장이 발생한 경우 가급적 빨리 수술적 치료를 받는 것이 중요합니다. 종합적으로 탈장은 다양한 증세과 원인을 가지고 있어 주의 깊은 관찰과 관리가 필요한 질환입니다. 건강한 생활습관 유지와 함께 증상 발생 시 신속한 진료를 받는 것이 중요합니다.



